El camino al diagnóstico de cáncer de mama
Palpación y autoexamen
Todo comienza con la detección, ya sea mediante un autoexamen de mamas o una palpación realizada por un profesional. el primer paso es identificar cualquier anomalía. Si se encuentra un bulto o alguna otra señal de alerta, se procede a estudios más específicos para descartar cáncer de mama.
Mamografía
La mamografía es la siguiente parada. Este estudio radiográfico permite visualizar el tejido mamario en busca de irregularidades. Si se detecta algo sospechoso, se realiza una biopsia para obtener una muestra del tejido afectado.

Nódulo mamario con algunas microcalcificaciones
Congelación del Tumor
Antes de enviar la muestra al laboratorio, se puede realizar una congelación rápida del tumor. Este proceso, llamado criosección, permite obtener cortes delgados del tejido para un análisis preliminar y estudio de los márgenes de la muestra. En ciertos casos se estudia también un ganglio linfático (centinela).
Rol del Patólogo
El patólogo es el encargado de realizar un análisis detallado del tejido. Mediante técnicas de microscopía, se evalúan las células para determinar si son cancerosas y, de ser así, qué tipo de cáncer se trata.
Macroscopía del Tumor
Una vez en el laboratorio el patólogo examina la muestra a simple vista. Este análisis macroscópico es crucial para determinar el tamaño y la forma del tumor así como cualquier característica que pueda ser relevante para el diagnóstico.

Nódulo mamario blanquecino de 1,5 cm.
Microscopía
La microscopía es una herramienta esencial. Permite observar las células a nivel microscópico para evaluar su forma, tamaño y organización. Este análisis es clave para confirmar o descartar la presencia de cáncer. Hay distintos tipos de tumores de mama. Es importante evaluar el grado del tumor y la extensión.
Receptor de Estrógenos
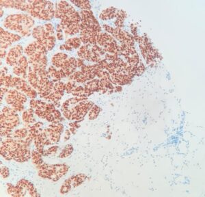
Una vez confirmado el diagnóstico se realizan pruebas adicionales para determinar el subtipo de cáncer. El análisis del receptor de estrógenos (RE) es crucial ya que un resultado positivo indica que el tumor es sensible a terapias hormonales.

Receptor de Estrógenos positivo. Núcleos marcados con DAB (marrón).
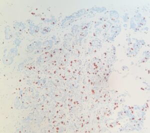
Receptor de progesterona
Similar al RE, el análisis del receptor de progesterona (PR) también es relevante. Un resultado positivo en esta prueba sugiere que el tumor podría responder bien a tratamientos que bloquean la acción de la progesterona.

Receptor de Progesterona positivo. Núcleos marcados con DAB (marrón).
HER2
El HER2 es otro marcador importante. Un nivel elevado de HER2 indica un tipo de cáncer más agresivo pero también más susceptible a ciertos tratamientos dirigidos.

HER2 positivo. Membranas con DAB (marrón).
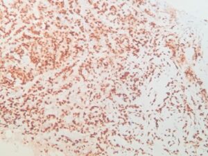
Ki-67
Por último, el Ki-67 es un marcador de proliferación celular. Un alto nivel de Ki-67 sugiere un crecimiento rápido del tumor, lo que podría requerir un tratamiento más agresivo.

Ki67 positivo. Núcleos marcados con DAB (marrón).
Conclusión
El diagnóstico de cáncer de mama es un proceso complejo que involucra múltiples etapas, desde la palpación inicial hasta el análisis molecular. Cada paso es crucial para determinar el tipo y el estadio del cáncer, lo que a su vez influye en el plan de tratamiento.
En este contexto, nuestro laboratorio juega un papel fundamental. Con su equipo Ventana de Inmunohistoquímica (IHQ) automatizada el laboratorio garantiza estudios de la más alta calidad y rapidez. Esta tecnología permite una detección precisa de marcadores como el receptor de estrógenos, receptor de progesterona, HER2 y Ki-67 lo que es vital para un diagnóstico preciso y un tratamiento efectivo.
La automatización del proceso de IHQ no solo acelera los tiempos de entrega sino que también minimiza el margen de error, asegurando resultados confiables. En resumen, nuestra tecnología avanzada es clave en el camino hacia un diagnóstico preciso y un tratamiento exitoso del cáncer de mama.
