Fotografía en el laboratorio: un antes y después
Desde los principios de la medicina la visualización de estructuras anatómicas ha sido un pilar fundamental para la comprensión del cuerpo humano.

La historia de la imagen en anatomía patológica es una fascinante narrativa de progreso y precisión, comenzando con las ilustraciones renacentistas hasta la sofisticada imaginería digital de hoy.
Leonardo da Vinci se destacó no solo como artista sino también como anatomista. Sus detallados dibujos anatómicos, fruto de meticulosas disecciones, revelaron la complejidad interna del cuerpo humano con una precisión asombrosa. Estas obras no solo eran artísticas sino también científicas, y aunque no eran accesibles en su tiempo, sentaron las bases para la visualización médica.

Avanzando en el tiempo los libros de medicina ilustrados del siglo XVII al XIX se convirtieron en recursos invaluables. ‘De Humani Corporis Fabrica’ de Andreas Vesalius, publicado en 1543, es uno de los textos más influyentes de la anatomía humana, conocido por sus ilustraciones excepcionalmente detalladas y precisas. Estos textos permitieron que conocimientos anatómicos complejos fueran más accesibles y comprendidos.
El verdadero cambio llegó con la integración de la fotografía y la microscopía en el siglo XIX.
Este avance fue crucial para la anatomía patológica, una disciplina que requiere una observación detallada de tejidos y células. Con la fotografía, los patólogos no solo podían ver los tejidos y células con mayor claridad, sino que también podían compartir estas imágenes con colegas, facilitando la colaboración y el diagnóstico a distancia.
¿Cómo ayudan las fotos?
- Documentación de muestras: La documentación de muestras a través de la fotografía es un componente esencial en la anatomía patológica. Esta práctica no solo ofrece un registro visual detallado de los tejidos examinados sino que también facilita el seguimiento longitudinal de enfermedades. Cada fotografía captura un momento específico en la historia clínica de un paciente, permitiendo a los patólogos observar la evolución de una patología a lo largo del tiempo.

Microfotografía de Papanicolaou: HPV
- Comunicación y consulta: Con el advenimiento de la fotografía digital y los sistemas de gestión de imágenes, los laboratorios ahora pueden almacenar y organizar grandes volúmenes de datos visuales. Esto ha revolucionado la manera en que se documentan y analizan las muestras. Por ejemplo, en casos de cáncer, las imágenes detalladas de biopsias tomadas en diferentes etapas del tratamiento pueden revelar cómo responde un tumor a la terapia, proporcionando información valiosa para ajustes terapéuticos.Podemos compartir fotos entre patólogos y con otros profesionales de la salud lo que facilita la interconsulta y colaboración entre expertos más allá de su ubicación geográfica.

Macroscopía de tumor de mama
- Educación médica: Además, la documentación fotográfica permite una revisión retrospectiva, esencial para la investigación y la mejora de la calidad. Los investigadores pueden revisar casos pasados, identificar patrones y correlaciones, y así contribuir al avance del conocimiento médico. En resumen, la documentación fotográfica de muestras es una herramienta poderosa que enriquece la práctica de la anatomía patológica y mejora el cuidado del paciente.Las fotos de alta calidad son una herramienta educativa invaluable. Las imágenes pueden utilizarse en conferencias y publicaciones.

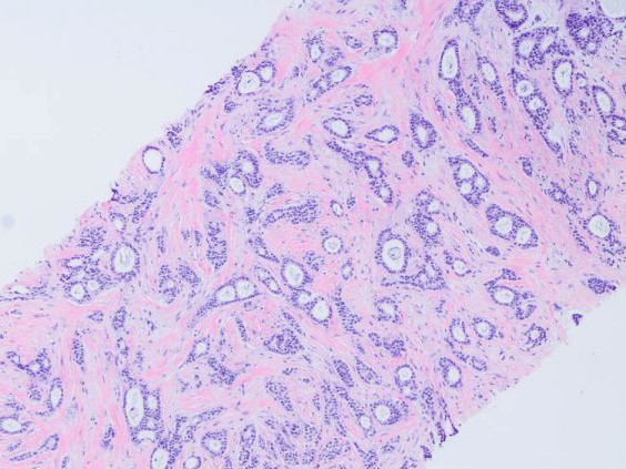
Microscopía de tumor de mama
Lo nuevo en tecnología
Ahora con cámaras digitales y escáner modernos las fotos son más detalladas. Además podemos guardarlas de forma segura y acceder a ellas fácilmente. Incluso hay programas que analizan las imágenes para detectar patrones y ayudar en diagnósticos complejos. El desarrollo de la telepatología permite a los patólogos examinar muestras de tejido a distancia a través de la transmisión de imágenes digitales en tiempo real.

Microfotografía escaneada (www.virtualpathology.leeds.ac.uk)
Haga Click en la imagen y cuando se abra la imagen con la rueda del mouse verá a mayor aumento como si fuera en un microscopio con alta resolución.
Desafíos éticos
Aunque la tecnología avanza hay que cuidar la privacidad del paciente y asegurarnos de que los datos estén seguros.
La privacidad del paciente es un derecho fundamental. Las imágenes médicas contienen datos sensibles que, si se manejan inadecuadamente, podrían comprometer la intimidad del individuo. Por ello, es imperativo que los laboratorios y los profesionales de la salud adopten protocolos estrictos de seguridad de la información. Esto incluye cifrado de datos, sistemas de acceso restringido y políticas claras de manejo y almacenamiento de imágenes.
Conclusión
La fotografía ha demostrado ser una herramienta invaluable en el campo de la anatomía patológica. Desde su introducción en el siglo XIX hasta los avances tecnológicos actuales, ha mejorado significativamente la precisión y la eficiencia en el diagnóstico, la comunicación y la educación médica. Con el continuo desarrollo de la tecnología digital, la relación entre la fotografía y la anatomía patológica seguirá evolucionando, brindando beneficios adicionales en la atención al paciente y la investigación médica. La combinación de la ciencia médica y la tecnología de la imagen sigue marcando el camino hacia un futuro más prometedor en la medicina.
